

Danh sách thông báo:
Bình chọn:
Những phương án trả lời:
×
Danh sách những công việc:
Danh sách dữ liệu:
Thành viên:
Bí Quyết Làm Đẹp
Địa chỉ: 397 Nguyễn Văn Cừ nối dài, Phường An Bình, Quận Ninh Kiều, Can Tho, Vietnam
Chủ đề:
Email: [email protected]
Điện thoại: 1800 1115
Mã số thuế: 0312592908
Website: https://sisvietnam.vn/
Ngày thành lập: 19-01-2014
Vị trí: Phường Ninh Kiều, Cần Thơ, Việt Nam
Thăm khám – chẩn đoán – điều trị các bệnh lý liên quan đến tai mũi họng như viêm xoang, viêm xương chũm, viêm tai giữa, điếc đột ngột, thủng màng nhĩ,… đáp ứng toàn diện nhu cầu khám chữa bệnh.
Giới thiệu

- Thăm khám – chẩn đoán – điều trị các bệnh lý liên quan đến tai mũi họng như viêm xoang, viêm xương chũm, viêm tai giữa, điếc đột ngột, thủng màng nhĩ,… đáp ứng toàn diện nhu cầu khám chữa bệnh.
- Ứng dụng công nghệ cao, kỹ thuật hiện đại vào phẫu thuật đầu cổ, tai, mũi xoang, họng – thanh quản, giúp tăng hiệu quả điều trị và hạn chế tối đa biến chứng
- Phát hiện sớm các trường hợp polyp mũi xoang, ung thư vòm họng qua nội soi.
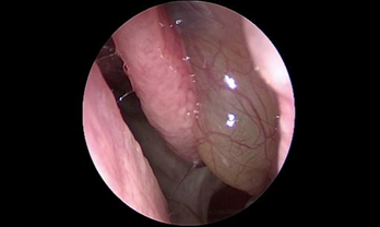
Phẫu thuật nội soi chức năng xoang (Functional Endoscopic Sinus Surgery-FESS) giúp trả lại hệ thống xoang thông thoáng với kỹ thuật không đặt bấc mũi.
Phẫu thuật điển hình

- Phẫu thuật nội soi mở dẫn lưu các xoang sàng, hàm, trán, bướm điều trị viêm xoang mạn tính
- Phẫu thuật nội soi cắt polyp mũi
- Phẫu thuật nội soi mũi xoang điều trị các viêm xoang đặc biệt: viêm xoang do nấm, viêm xoang do răng
- Phẫu thuật nội soi chỉnh hình vách ngăn
- Phẫu thuật nội soi thu gọn cuốn dưới bằng dao plasma
- Phẫu thuật nâng xương chính mũi, chỉnh hình sống mũi sau chấn thương
- Nội soi mũi xoang cầm máu mũi trong các trường hợp chảy máu mũi nặng
- Phẫu thuật nội soi mũi xoang điều trị các khối u: u nhú mũi xoang, u nhầy.
- Hút rửa mũi xoang phương pháp proetz.
Công nghệ phẫu thuật nội soi hiện đại
- Phẫu thuật nội soi mũi xoang với hệ thống định vị trong lúc mổ (Navigation) cho phép bác sĩ tiếp cận trực tiếp đến các vùng mũi xoang bị viêm, gia tăng khả năng quan sát các mốc giải phẫu trong hốc mũi để đánh giá một cách chính xác các bệnh lý sâu trong hốc mũi.
- Trên cơ sở đó, bác sĩ có thể dễ dàng thao tác loại bỏ sạch các tác nhân gây viêm và mủ mà vẫn bảo tồn tối đa niêm mạc lành và hạn chế nạo bỏ niêm mạc triệt để, tối ưu lưu thông không khí trong hệ thống xoang.
- Hỗ trợ đắc lực cho các ca phẫu thuật xoang tại bệnh viện SIS Cần Thơ là hệ thống nội soi Karl Storz cùng máy chụp cắt lớp thế hệ mới nhất CT photon, cho phép phát hiện những tổn thương nhỏ tại hốc mũi xoang. Bên cạnh đó, máy khoan cắt hút mô liên tục đa chức năng Nouvag của Thụy Sĩ giúp tăng độ chính xác, giảm tổn thương niêm mạc, rút ngắn thời gian phẫu thuật.
Sử dụng vật liệu tự tiêu để cầm máu

- Các vật liệu truyền thống không có khả năng tự tiêu và yêu cầu việc gỡ bỏ sau phẫu thuật, gây nên sự bất tiện và khó chịu cho bệnh nhân. Trong khi đó, vật liệu tự tiêu có khả năng tự tan trong thời gian ngắn mà không cần phải gỡ bỏ, tránh tình trạng nghẹt mũi, thở bằng miệng sau mổ.
- Vì vậy, phẫu thuật nội soi mũi xoang sử dụng vật liệu tự tiêu giúp cải thiện lưu thông không khí nên thời gian phục hồi cũng được rút ngắn đáng kể, cho phép bệnh nhân trở lại hoạt động bình thường nhanh chóng ngay sau mổ.
xem thêm nội dung
Om Spa - Massage Khỏe
0
Với đội ngũ kỹ thuật viên tay nghề cao dày dạn kinh nghiệm và phong cách phục vụ tận tâm OMSPA Massage Buôn Ma Thuột là lựa chọn hàng đầu cho trải nghiệm thư giãn và phục hồi sức khỏe tại thành phố Chúng tôi liên tục cập nhật những phương pháp massage
Spa Đông Nghi Buôn Ma Thuột Đắk Lắk
0
Với kinh nghiệp 25 năm tại Buôn Ma Thuột Đăk Lăk Chúng tôi tự tin với đội ngũ có kinh nghiệm nhiều nhất khu vực Đăk Lăk trên 10 năm cùng với hiệu quả cao từ những liệu trình chăm sóc da đặc biệt
Phòng Khám Đa Khoa Tân Bình
0
Được thành lập dưới sự phê chuẩn hoạt động Phòng Khám Đa Khoa Tân Bình nằm tại vị trí đắc địa số 495 Cộng Hoà Phường 15 Quận Tân Bình đã và đang là một trong những địa chỉ chăm sóc sức khỏe toàn diện và chu đáo hiện nay cho người dân sống tại Sài Gòn
Thẫm Mỹ Mộc Linh
0
Ngay từ những ngày đầu xây dựng Công ty TNHH Mộc Linh với thương hiệu Mộc Linh và sau này là Viện Thẩm mĩ Nơi vẻ đẹp tái sinh Mộc Linh chị Nguyễn Thu Linh tâm niệm sứ mệnh của mình là giúp cho tất cả phụ nữ Việt Nam không phân biệt già trẻ giàu nghèo đ
Trường Thọ Spa
0
Trong cuộc sống hiện đại hối hả bận rộn làm cho chúng ta trở nên mệt mỏi căng thằng do vậy việc chăm sóc sức khỏe tinh thần sắc đẹp tận hưởng sự thư giãn đã trở nên một món ăn tinh thần không thể thiếu Nắm bắt được nhu cầu đó Công ty Cổ phần Vậ
Thẩm Mỹ Viện Hoa Vy
0
Thẩm mỹ viện HoaVy Hệ thống Thẩm mỹ viện uy tín hàng đầu Việt Nam với 9 năm kinh nghiệm trong ngành thẩm mỹ làm đẹp
Lani Spa
0
Lani Spa nơi chăm sóc da chuyên nghiệp với đội ngũ chuyên viên lành nghề nhiều năm kinh nghiệm Lani sử dụng 100 các sản phẩm chăm sóc da từ các hãng nổi tiếng như Laroche Posay The Ordinary SimpleVới tiêu chí DA KHOẺ LÀ DA ĐẸP Lani Spa luôn mu
Thẩm Mỹ Viện Quốc Tế Aura
0
Với hơn 10 năm kinh nghiệm trong ngành thẩm mỹ Aura luôn đặt trải nghiệm của khách hàng lên hàng đầu Chúng tôi không ngừng cập nhật những xu hướng làm đẹp mới nhất trên thế giới để mang đến một địa chỉ làm đẹp an toàn và uy tín tại khắp các tỉnh thành V
Om Spa - Massage Khỏe
0
Với đội ngũ kỹ thuật viên tay nghề cao dày dạn kinh nghiệm và phong cách phục vụ tận tâm OMSPA Massage Buôn Ma Thuột là lựa chọn hàng đầu cho trải nghiệm thư giãn và phục hồi sức khỏe tại thành phố Chúng tôi liên tục cập nhật những phương pháp massage
Spa Đông Nghi Buôn Ma Thuột Đắk Lắk
0
Với kinh nghiệp 25 năm tại Buôn Ma Thuột Đăk Lăk Chúng tôi tự tin với đội ngũ có kinh nghiệm nhiều nhất khu vực Đăk Lăk trên 10 năm cùng với hiệu quả cao từ những liệu trình chăm sóc da đặc biệt
Phòng Khám Đa Khoa Tân Bình
0
Được thành lập dưới sự phê chuẩn hoạt động Phòng Khám Đa Khoa Tân Bình nằm tại vị trí đắc địa số 495 Cộng Hoà Phường 15 Quận Tân Bình đã và đang là một trong những địa chỉ chăm sóc sức khỏe toàn diện và chu đáo hiện nay cho người dân sống tại Sài Gòn
Thẫm Mỹ Mộc Linh
0
Ngay từ những ngày đầu xây dựng Công ty TNHH Mộc Linh với thương hiệu Mộc Linh và sau này là Viện Thẩm mĩ Nơi vẻ đẹp tái sinh Mộc Linh chị Nguyễn Thu Linh tâm niệm sứ mệnh của mình là giúp cho tất cả phụ nữ Việt Nam không phân biệt già trẻ giàu nghèo đ
Trường Thọ Spa
0
Trong cuộc sống hiện đại hối hả bận rộn làm cho chúng ta trở nên mệt mỏi căng thằng do vậy việc chăm sóc sức khỏe tinh thần sắc đẹp tận hưởng sự thư giãn đã trở nên một món ăn tinh thần không thể thiếu Nắm bắt được nhu cầu đó Công ty Cổ phần Vậ
Thẩm Mỹ Viện Hoa Vy
0
Thẩm mỹ viện HoaVy Hệ thống Thẩm mỹ viện uy tín hàng đầu Việt Nam với 9 năm kinh nghiệm trong ngành thẩm mỹ làm đẹp
Lani Spa
0
Lani Spa nơi chăm sóc da chuyên nghiệp với đội ngũ chuyên viên lành nghề nhiều năm kinh nghiệm Lani sử dụng 100 các sản phẩm chăm sóc da từ các hãng nổi tiếng như Laroche Posay The Ordinary SimpleVới tiêu chí DA KHOẺ LÀ DA ĐẸP Lani Spa luôn mu
Thẩm Mỹ Viện Quốc Tế Aura
0
Với hơn 10 năm kinh nghiệm trong ngành thẩm mỹ Aura luôn đặt trải nghiệm của khách hàng lên hàng đầu Chúng tôi không ngừng cập nhật những xu hướng làm đẹp mới nhất trên thế giới để mang đến một địa chỉ làm đẹp an toàn và uy tín tại khắp các tỉnh thành V
Phòng Khám Đa Khoa Tân Bình
0
Được thành lập dưới sự phê chuẩn hoạt động Phòng Khám Đa Khoa Tân Bình nằm tại vị trí đắc địa số 495 Cộng Hoà Phường 15 Quận Tân Bình đã và đang là một trong những địa chỉ chăm sóc sức khỏe toàn diện và chu đáo hiện nay cho người dân sống tại Sài Gòn
Bệnh Viện Phương Đông - An Tâm Sống Khỏe
0
Bệnh Viện Đa Khoa Phương Đông là địa chỉ uy tín về khám chữa bệnh với đội ngũ chuyên gia bác sĩ hàng đầu trang thiết bị hiện đại cùng các phác đồ điều trị hiệu quả khoa học mang đến dịch vụ khám điều trị chăm sóc sức khỏe cao cấp toàn diện với ch
Phục Hồi Chức Năng VN HOUSE
0
Là trung tâm tiên phong nghiên cứu ứng dụng các phương pháp vật lý trị liệu phục hồi chức năng trong nước và quốc tế vào can thiệp toàn diện
Bệnh Viện Y Học Cổ Truyền Nghệ An
0
Trải qua 56 năm ra đời và phát triển Bệnh viện Y học cổ truyền Nghệ An đang ngày càng khẳng định được vị thế của mình trong sự phát triển chung của nền y tế tỉnh nhà Trong tình hình mới hiện nay Bệnh viện lấy tiêu chí người bệnh làm trung tâm và chất
Bệnh Viện Phục Hồi Chức Năng Nghệ An
0
Bệnh viện Phục hồi chức năng Nghệ An là đơn vị Y tế chuyên khoa tuyến tỉnh hạng II đầu ngành về Phục hồi chức năng trên địa bàn tỉnh Nghệ An với qui mô 390 giường bệnh nội trú hàng năm bệnh viện thực hiện khám và điều trị nội trú ngoại trú cho khoảng 70
Bệnh Viện Lão Khoa - Phục Hồi Chức Năng
0
Bệnh viện Phục hồi chức năng được thành lập ngày 2551974 với tên gọi là Viện điều dưỡng suối khoáng Quang Hanh Năm 2001 đổi tên thành Bệnh viện Điều dưỡng Phục hồi chức năng Từ năm 2015 đến nay là Bệnh viện Phục hồi chức năng Quảng Ninh
Bệnh Viện Y Dược Cổ Truyền Quảng Ninh
0
Bệnh viện Y dược cổ truyền Quảng Ninh là đơn vị sự nghiệp Y tế trực thuộc Sở Y tế tỉnh Quảng Ninh là tuyến khám bệnh chữa bệnh bằng y dược cổ truyền cao nhất của tỉnh
Bệnh Viện Tâm Trí Đồng Tháp
0
Được thành lập năm 2012 Bệnh viện đa khoa Tâm Trí Đồng Tháp là một thành viên của tập đoàn TMMC Healthcare tọa lạc tại thành phố Cao Lãnh trung tâm của tỉnh Đồng Tháp một tỉnh nằm ở phía Bắc Đồng Bằng Sông Cửu Long và giáp ranh với Campuchia
Bệnh Viện Phụ Sản thành phố Cần Thơ
0
Luôn đáp ứng sự hài lòng của khách hàng và đối tác bằng đa cách đa dạng hóa dịch vụ khám chữa bệnh và chăm sóc sức khỏe toàn diện đảm bảo chất lượng an toàn hiệu quả
Bệnh Viện Đa Khoa Quốc Tế SIS Cần Thơ
0
Thăm khám chẩn đoán điều trị các bệnh lý liên quan đến tai mũi họng như viêm xoang viêm xương chũm viêm tai giữa điếc đột ngột thủng màng nhĩ đáp ứng toàn diện nhu cầu khám chữa bệnh
Bệnh Viện Tai Mũi Họng Thành Phố Cần Thơ
0
Trải qua 20 năm hoạt động Bệnh viện Tai Mũi Họng TP Cần Thơ không ngừng hoàn thiện và phát triển về cơ cấu tổ chức đến trang thiết bị y tế và chuyên môn
Bệnh Viện Quốc Tế Phương Châu
0
Tiên phong đi vào hoạt động với hành trình hơn 10 năm Bệnh Viện Quốc Tế BVQT Phương Châu tại Cần Thơ đã dần trở thành ngôi nhà thân thiện chuyên nghiệp ấm áp và đáng tin cậy cho các gia đình
Bệnh Viện Đa Khoa Quận Thốt Nốt
0
Đồng bằng sông Cửu long là một trong những khu vực không có nhiều điều kiện thuận lợi để tiếp cận nhanh với các dịch vụ y tế chất lượng cao
Bệnh viện Trường Đại Học Y Dược Cần Thơ
0
Bệnh viện Trường Đại học Y Dược Cần Thơ Được thành lập theo QĐ số 270QĐBYT ngày 26012011 tọa lạc tại số 179 đường Nguyễn Văn Cừ Phường An Khánh Quận Ninh Kiều Thành phố Cần Thơ với nhiệm vụ phục vụ và chăm sóc sức khỏe cho nhân dân đặc biệt l
Bệnh viện Đại học Nam Cần Thơ
0
Bệnh viện Đại học Nam Cần Thơ là một trong những biểu tượng của sự kết hợp hoàn hảo giữa giáo dục y học và thực hành chăm sóc sức khỏe đóng vai trò quan trọng không chỉ trong đào tạo y khoa
Thẩm Mỹ ShinHan
0
Hệ Thống Thẩm Mỹ ShinHan với 16 chi nhánh trên toàn quốc có quy mô hơn 500 nhân sự phục vụ hơn 50000 KH mỗi tháng ShinHan Beauty vẫn đang tiếp tục mở rộng quy mô về chất lượng và số lượng nhằm mang đến cho khách hàng những trải nghiệm tuyệt vời nhất
Viện Chăm Sóc Da FOB
0
Tiền thân là Công ty TNHH Mỹ phẩm Hồng nhung FOB thành lập vào năm 2001 Công ty sản xuất và kinh doanh sản phẩm trong lĩnh vực Trị liệu và Làm đẹp Trong những năm qua FOB đã phát triển thêm nhiều dịch vụ nhằm phục vụ tốt hơn nhu cầu của khách hàng
Lona Skin Lab
0
Lona Skin Lab tự hào là thẩm mỹ viện hàng đầu tại Việt Nam với nhiều năm kinh nghiệm trong lĩnh vực chăm sóc sắc đẹp cho phái nữ Luôn lấy sức khỏe và sự hài lòng của khách hàng làm trọng tâm phục vụ Lona Skin Lab không ngừng hoàn thiện để trở thành lựa
Phòng Khám Y Khoa Thái Dương
0
Trải qua hơn 12 năm hoạt động Phòng khám trở thành thương hiệu có uy tín về lĩnh vực điều trị không dùng thuốc và các phương pháp chăm sóc sức khỏe bằng y học cổ truyền Nhờ sự kết hợp giữa Y học cổ truyền và Y học hiện đại Vật lý trị liệu phục hồi chức
Nha Khoa Ninh Kiều
0
Trung tâm Nha Khoa Ninh Kiều xin trân trọng gởi đến Quý khách lời chúc sức khỏe và thành công trong công việc Trung tâm Nha Khoa chúng tôi với đội ngũ Bác Sỹ Đại Học Y Dược tốt nghiệp liên trường Nha Pháp Việt thường xuyên cập nhật kiến thức mới được
Bệnh Viện Phụ Sản thành phố Cần Thơ
0
Luôn đáp ứng sự hài lòng của khách hàng và đối tác bằng đa cách đa dạng hóa dịch vụ khám chữa bệnh và chăm sóc sức khỏe toàn diện đảm bảo chất lượng an toàn hiệu quả
Bệnh Viện Đa Khoa Quốc Tế SIS Cần Thơ
0
Thăm khám chẩn đoán điều trị các bệnh lý liên quan đến tai mũi họng như viêm xoang viêm xương chũm viêm tai giữa điếc đột ngột thủng màng nhĩ đáp ứng toàn diện nhu cầu khám chữa bệnh
Spa Gội Đầu Dưỡng Sinh Massage Trị Liệu Bách Lạc Y Viên
0
Bách Lạc Y Viên An yên sống khoẻ Spa dưỡng sinh đông y Nơi hội tụ những tinh hoa của y học cổ truyền dân tộc Đội ngũ Trị Liệu Viên với kinh nghiệm trên 2 năm và phục vụ 1000 khách hàng mỗi năm đầy đủ chứng chỉ bằng cấp đủ để hành nghề trị liệu
Thẩm Mỹ ShinHan
0
Hệ Thống Thẩm Mỹ ShinHan với 16 chi nhánh trên toàn quốc có quy mô hơn 500 nhân sự phục vụ hơn 50000 KH mỗi tháng ShinHan Beauty vẫn đang tiếp tục mở rộng quy mô về chất lượng và số lượng nhằm mang đến cho khách hàng những trải nghiệm tuyệt vời nhất
Viện Chăm Sóc Da FOB
0
Tiền thân là Công ty TNHH Mỹ phẩm Hồng nhung FOB thành lập vào năm 2001 Công ty sản xuất và kinh doanh sản phẩm trong lĩnh vực Trị liệu và Làm đẹp Trong những năm qua FOB đã phát triển thêm nhiều dịch vụ nhằm phục vụ tốt hơn nhu cầu của khách hàng
Lona Skin Lab
0
Lona Skin Lab tự hào là thẩm mỹ viện hàng đầu tại Việt Nam với nhiều năm kinh nghiệm trong lĩnh vực chăm sóc sắc đẹp cho phái nữ Luôn lấy sức khỏe và sự hài lòng của khách hàng làm trọng tâm phục vụ Lona Skin Lab không ngừng hoàn thiện để trở thành lựa
Phòng Khám Y Khoa Thái Dương
0
Trải qua hơn 12 năm hoạt động Phòng khám trở thành thương hiệu có uy tín về lĩnh vực điều trị không dùng thuốc và các phương pháp chăm sóc sức khỏe bằng y học cổ truyền Nhờ sự kết hợp giữa Y học cổ truyền và Y học hiện đại Vật lý trị liệu phục hồi chức
Nha Khoa Ninh Kiều
0
Trung tâm Nha Khoa Ninh Kiều xin trân trọng gởi đến Quý khách lời chúc sức khỏe và thành công trong công việc Trung tâm Nha Khoa chúng tôi với đội ngũ Bác Sỹ Đại Học Y Dược tốt nghiệp liên trường Nha Pháp Việt thường xuyên cập nhật kiến thức mới được
Bệnh Viện Phụ Sản thành phố Cần Thơ
0
Luôn đáp ứng sự hài lòng của khách hàng và đối tác bằng đa cách đa dạng hóa dịch vụ khám chữa bệnh và chăm sóc sức khỏe toàn diện đảm bảo chất lượng an toàn hiệu quả
Bệnh Viện Đa Khoa Quốc Tế SIS Cần Thơ
0
Thăm khám chẩn đoán điều trị các bệnh lý liên quan đến tai mũi họng như viêm xoang viêm xương chũm viêm tai giữa điếc đột ngột thủng màng nhĩ đáp ứng toàn diện nhu cầu khám chữa bệnh
Spa Gội Đầu Dưỡng Sinh Massage Trị Liệu Bách Lạc Y Viên
0
Bách Lạc Y Viên An yên sống khoẻ Spa dưỡng sinh đông y Nơi hội tụ những tinh hoa của y học cổ truyền dân tộc Đội ngũ Trị Liệu Viên với kinh nghiệm trên 2 năm và phục vụ 1000 khách hàng mỗi năm đầy đủ chứng chỉ bằng cấp đủ để hành nghề trị liệu
Bệnh Viện Đa Khoa Quốc Tế SIS Cần Thơ
0
Thăm khám chẩn đoán điều trị các bệnh lý liên quan đến tai mũi họng như viêm xoang viêm xương chũm viêm tai giữa điếc đột ngột thủng màng nhĩ đáp ứng toàn diện nhu cầu khám chữa bệnh
Bệnh Viện Tâm Trí Đồng Tháp
0
Chuyên Khám điều trị Viêm Amidan cấp mạn Viêm thanh quản cấp mạn Các bệnh gây đau tai chảy mủ tai ù tai ngứa tai nghe kém chóng mặt Các khối u vùng đầu mặt cổ
Bệnh Viện Tai Mũi Họng TP.HCM
0
Bệnh viện Tai Mũi Họng là một trung tâm y tế chuyên sâu tập trung vào chẩn đoán điều trị và phòng ngừa các vấn đề liên quan đến hệ thống tai mũi và họng Chúng tôi tự hào với đội ngũ bác sĩ chuyên gia y tế và nhân viên chăm sóc sức khỏe có trình độ ca
Tai Mũi Họng OTOSAN
0
Từ khi gia nhập thị trường Việt Nam Otosan đã khẳng định vị thế là thương hiệu toàn cầu được các BS Chuyên gia đầu ngành TaiMũiHọng đánh giá cao về chất lượng hiệu quả tính an toàn cho người sử dụng
PlasmaKare
0
Thương hiệu PlasmaKare định hình dẫn đầu về nghiên cứu phát triển và ứng dụng các loại Nano trong chăm sóc sức khỏe con người 3 trụ cột lĩnh vực phát triển của PlasmaKare là Chăm sóc Da Bảo vệ Tai Mũi Họng Chống viêm nhiễm phụ khoa
Bệnh Viện Tai Mũi Họng Thành Phố Cần Thơ
0
Trải qua 20 năm hoạt động Bệnh viện Tai Mũi Họng TP Cần Thơ không ngừng hoàn thiện và phát triển về cơ cấu tổ chức đến trang thiết bị y tế và chuyên môn
Bệnh Viện Tai Mũi Họng Trung Ương
0
Năm 1953 Chính phủ Bộ Y tế đã cho thành lập Bệnh khoa Tai Mũi Họng bên cạnh Bộ Y tế trong an toàn khu ATK của Trung ương ở Việt Bắc và giao cho bác sĩ Trần Hữu Tước phụ trách để thành lập phát triển chuyên ngành Tai Mũi Họng đồng thời với phẫu thuật
Bệnh Viện Tai Mũi Họng TP.HCM
0
Bệnh viện Tai Mũi Họng là một trung tâm y tế chuyên sâu tập trung vào chẩn đoán điều trị và phòng ngừa các vấn đề liên quan đến hệ thống tai mũi và họng
Thẩm Mỹ ShinHan
0
Hệ Thống Thẩm Mỹ ShinHan với 16 chi nhánh trên toàn quốc có quy mô hơn 500 nhân sự phục vụ hơn 50000 KH mỗi tháng ShinHan Beauty vẫn đang tiếp tục mở rộng quy mô về chất lượng và số lượng nhằm mang đến cho khách hàng những trải nghiệm tuyệt vời nhất
Viện Chăm Sóc Da FOB
0
Tiền thân là Công ty TNHH Mỹ phẩm Hồng nhung FOB thành lập vào năm 2001 Công ty sản xuất và kinh doanh sản phẩm trong lĩnh vực Trị liệu và Làm đẹp Trong những năm qua FOB đã phát triển thêm nhiều dịch vụ nhằm phục vụ tốt hơn nhu cầu của khách hàng
Lona Skin Lab
0
Lona Skin Lab tự hào là thẩm mỹ viện hàng đầu tại Việt Nam với nhiều năm kinh nghiệm trong lĩnh vực chăm sóc sắc đẹp cho phái nữ Luôn lấy sức khỏe và sự hài lòng của khách hàng làm trọng tâm phục vụ Lona Skin Lab không ngừng hoàn thiện để trở thành lựa
Phòng Khám Y Khoa Thái Dương
0
Trải qua hơn 12 năm hoạt động Phòng khám trở thành thương hiệu có uy tín về lĩnh vực điều trị không dùng thuốc và các phương pháp chăm sóc sức khỏe bằng y học cổ truyền Nhờ sự kết hợp giữa Y học cổ truyền và Y học hiện đại Vật lý trị liệu phục hồi chức
Nha Khoa Ninh Kiều
0
Trung tâm Nha Khoa Ninh Kiều xin trân trọng gởi đến Quý khách lời chúc sức khỏe và thành công trong công việc Trung tâm Nha Khoa chúng tôi với đội ngũ Bác Sỹ Đại Học Y Dược tốt nghiệp liên trường Nha Pháp Việt thường xuyên cập nhật kiến thức mới được
Bệnh Viện Phụ Sản thành phố Cần Thơ
0
Luôn đáp ứng sự hài lòng của khách hàng và đối tác bằng đa cách đa dạng hóa dịch vụ khám chữa bệnh và chăm sóc sức khỏe toàn diện đảm bảo chất lượng an toàn hiệu quả
Bệnh Viện Đa Khoa Quốc Tế SIS Cần Thơ
0
Thăm khám chẩn đoán điều trị các bệnh lý liên quan đến tai mũi họng như viêm xoang viêm xương chũm viêm tai giữa điếc đột ngột thủng màng nhĩ đáp ứng toàn diện nhu cầu khám chữa bệnh
Spa Gội Đầu Dưỡng Sinh Massage Trị Liệu Bách Lạc Y Viên
0
Bách Lạc Y Viên An yên sống khoẻ Spa dưỡng sinh đông y Nơi hội tụ những tinh hoa của y học cổ truyền dân tộc Đội ngũ Trị Liệu Viên với kinh nghiệm trên 2 năm và phục vụ 1000 khách hàng mỗi năm đầy đủ chứng chỉ bằng cấp đủ để hành nghề trị liệu





TUYỂN DỤNG MỚI
SẢN PHẨM
THÔNG TIN